Diálise Peritoneal na Doença Renal Policística: existe algum motivo para não indicar?
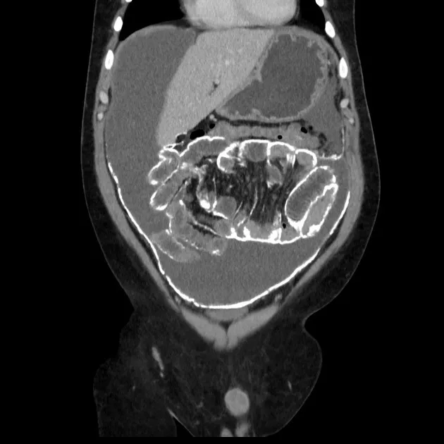
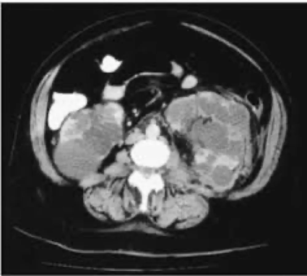
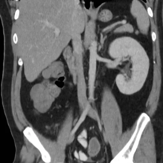
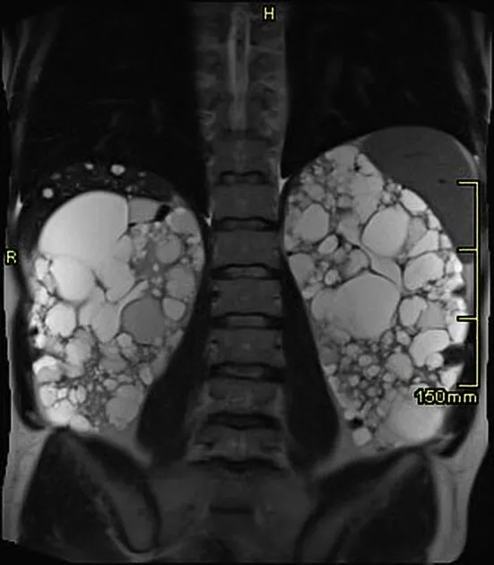
A DRPAD não é contraindicação à DP — e, na prática, muitos pacientes têm resultados comparáveis à hemodiálise. O “porém” está na mecânica: rins/hepatomegalia podem reduzir tolerância a volumes, aumentar risco de hérnias e extravasamentos, e piorar desconforto respiratório. Com técnica adequada (cateter presternal ou lateral, volumes menores, cicladora noturna e decúbito supino), a maioria das barreiras é contornável. Neste post, revisamos quando a DP é ótima, quando exigir cautela e como ajustar a prescrição para segurança e qualidade de vida.
Valkercyo Feitosa
6 meses atrás